Your Treatment
Invisalign
![]()
For patients looking to achieve a beautiful smile with an invisible option, we would suggest Invisalign. With Invisalign there are no wires or brackets to deal with.
This system allows the teeth to be gently aligned over time using a series of aligners (all of them invisible!) which when worn in series will gradually correct your teeth into their final position.
The system is completely clear so people won’t even know you are wearing them. The aligners are also removable allowing you to eat whatever you wish and also making oral hygiene easier to deal with.
During your treatment, you’ll visit our office every 8-12 weeks to make sure everything is progressing properly.
Braces
![]()
There are many types of braces that an orthodontist can use to straighten teeth. The reality is that teeth have no idea what’s glued to them. Braces are just the handles. And no one type of brace is better than another. University studies have proven this time and time again. There are painters like “Acme Painting” and there are artists like Michelangelo. The difference isn’t the paint; it’s the skill of the artist using the paintbrush.The Doctors will place your handles on your teeth and then use the wires, like Michelangelo, to create a masterpiece smile!
Digital Scanning
![]()
We offer iTero 3D imaging at our office which allows our patients to have their entire treatment plan processed and visualized in 3D space in just one visit. Patients love this system and you will too! With 3D scanning you will never need goopy dental impressions during your smile transformation journey.
3D scanning is also much more accurate than impressions. This allows for a better fit and a more predictable result in less time.
iTero digital scanning is a “MUST” when treating with Invisalign.
Accelerated Treatment
![]()
There is an emerging school of technology to help reduce treatment times. We offer VPro5, a lightweight, simple to use, hands free appliance.
VPro5 is used 5 minutes per day and can take months off of the total treatment time.
VPro5 can speed up tooth movement and reduce your treatment time by stimulating bone and tooth movement. It also helps to make your orthodontics more comfortable.
Accelerated Orthodontics is a “MUST” when treating with Invisalign.
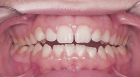
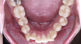
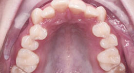
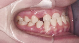
Treatment Examples
Crossbite
Crowding Front
Crowding Lower
Crowding Upper
Midlines


Narrow Upper Arch


Openbite


Overbite Front
Overbite Side
Protrusion
Spacing
Underbite
Contact Information
Hatala Orthodontics, PC
165 Riverside Drive,
Johnson City, NY 13790
Phone: 607-644-9100
Email: hatalaortho1@gmail.com

















